リウマチ膠原病のQ&A

日常診療で出会ったギモンに取り組んでいきます!

日本の側頭動脈生検について

「生検を依頼して、すぐにステロイド」ですが、まことしやかにささやかれるこの格言にリウマトロジストは懐疑的です。
 
 
つまり、検査前確率次第だと思っているのです。
 
日本では、側頭動脈炎(肉芽腫性血管炎)が50歳以上の10万人あたり1.47人とする報告があります(USAでは200人)。
 
 
検査前確率が1.47/10万人の母集団において、眼科外来やPMR患者というセッティングであれば、確率は上がるでしょう。
 
しかし、検査前確率が治療閾値を超えるほど上がるでしょうか?
 
治療閾値が確率50%とすると、2回に1回は外してもよいということです。失明の危機があるわけですから、50%は正当化されるかもしれません。
 
検査前確率が何パーセントなら、集団における治療の利益が一部の不利益を超えるでしょうか。
 
33%なら、どうでしょう。1人は良くても、2人の高齢者は不必要なステロイドを投与されます。
 
この治療閾値は決める必要はありませんが、この病気が極めて少ないとされる日本の診療において、この辺りまで検査前確率があがるのか?ということです。
 
米国では上手くいくプラクティスでも、検査前確率が低い日本で同じことをすると失敗する確率が上がるということを申し上げたいのです。
 
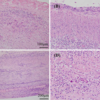
もうひとつ忘れてはならないのは、側頭動脈炎における側頭動脈生検の感度です。感度が99%くらいなら、陰性であれば否定的であり、ステロイドを切っていいわけです。しかし、メイヨークリニックにおける側頭動脈生検134件をもとにした研究において、側頭動脈炎における感度は85%であったとされております。
 
 
この85%という高い感度はメイヨーのような一流の施設において言えることです。メイヨーにおける片方の側頭動脈生検で得られた側頭動脈の長さは中央値3.5cmとされます。
 
日本の多くの施設で経験が少なく、十分な長さで適切に採取されているか(Sampling error)、それを読む病理医の経験はどうかと考えると、日本におけるこの検査の感度はそれほど高くない可能性があります。
 
感度がそれほど高くないかもしれない検査の結果を待たずにステロイドを開始して、陰性であったときにステロイドを切れるでしょうか?
 
最終的に困るのは主治医ですので、検査が陰性なら、どうするのかということも決めて置いたほうがよいです。
 
(リウマトロジストはこの困った状況を1例経験したことがあります。その方は高齢者に新規に発症した頭痛で、ESR高値、造影CTにて大動脈の壁肥厚を認めており、検査前確率は十分に治療閾値を超えると判断しておりました。なので、追加の生検を行わず治療を続けました)
 
リウマトロジストのこの疾患に対する診療態度は、検査前確率を可能な限り見きわめるということです。
 
そして、生検を行うかどうか、生検を行う場合は治療をどのタイミングで行うか(病理を確認してか、病理を待たずか)を考えてから、オーダーをします。
 
リウマトロジストが生検より治療を先行することがあるとすれば、初診時に明確な視力障害がある場合のみでしょう(幸い、その経験はございません)。
 
本当に疑わしい患者には、問診、身体所見は当然のこと、検査では造影CT3D-CT)、PETを勧めています(造影CTよりは造影MRIが良いそうですが、全身をスキャンできるという点で優先しております)。
 
PETの感度は80%とされており、おそらく日本で行われる側頭動脈生検よりも感度が高いと思います。
 
 
ちなみに、これらの検査に費やされる時間は1週間程度です。その約1週間をどの程度惜しむかですが。。
 
ここで、もうひとつ研究を紹介しておきます。
 
アメリカの大学病院眼科のBiopsy-proven TA 144例の研究です。
 
 
・初診時、視力障害(+)の91例のうち、9例(11眼)に5日以内に視力障害の進行を認めた。
91例のうち、90% (視力悪化の9例を含む)が初診時にステロイド治療を開始され、残り10%2日以内に治療開始されていた。
 
・初診時、視力障害(-)の53例は全例視力障害を認めず。ただし、全例が5日以内に治療開始されていた。
 
リウマトロジストは、この研究結果から、視力障害を来している方は初診時か2日以内に治療する必要があるが、視力障害のないケースでは同様に治療を急がなければならないという根拠はないという見解を持っております。
 
発症後何カ月も眼症状がないケースであれば、治療よりも精査を優先すべきだと考えています。